Andrea de Luca est de Castellammare di Stabia en Italie .
Depuis 3 ans,il était atteint de la maladie de Perthes.
La tête de son fémur et sa hanche était atteinte.Les cellules osseuses mourraient et modifiait la forme de la tête fémorale.
La maladie de Legg-Calvé-Perthes (MLCP),appelé aussi,
est une nécrose (forme de dégat cellulaire avec mort prématurée et non programmée des cellules dans le tissu vivant.) ischémique (avec diminution de l'apport de sang dans l'organe) de la tête fémorale en croissance.Pour garder ses propriétés mécaniques, un os doit être irrigué par du sang.
La nécrose ischémique signifie que l'os meurt du fait de l'absence d'irrigation sanguine. Il est important de noter que cette maladie survient chez un sujet qui grandit car la nécrose de la tête du fémur qui survient chez l'adulte n'évolue pas du tout de la même manière.
Il faut donc bien distinguer ces deux maladies.
Cette maladie touche en moyenne quatre garçons pour une fille entre l'âge de trois et dix ans.
Son origine est encore inconnue. Il existe quelques formes familiales et les deux hanches ne sont concernées que dans 10% à 15% des cas
Comment fait on le diagnostic?
Le motif de consultation est généralement une boiterie. On ne retrouve pas de traumatisme initial marquant. La boiterie apparaît soudainement sans raison. La douleur est variable d'un sujet à l'autre et dans le temps. Elle est classiquement située au niveau de la hanche mais elle est parfois située au niveau du genou.
La douleur peut être absente. Il arrive parfois que l'enfant continue de marcher, voire de courir, tout en boitant.
A l'examen, on retrouve souvent une atrophie musculaire du quadriceps, c'est-à-dire que le muscle de la cuisse est plus fin que de l'autre côté du fait d'une sollicitation moins important de cette jambe.
Pour un autre site médical :
Les symptômes initiaux sont habituellement une boiterie, une douleur à la hanche, à la cuisse ou au genou et une limitation des mouvements de la hanche. Plus tard dans l'évolution de la maladie, une inégalité dans la longueur des jambes ainsi qu'une atrophie musculaire autour de la hanche peuvent être observées.
La phase active de la maladie peut durer plusieurs années
pendant lesquelles la tête fémorale devient partiellement ou entièrement nécrotique et progressivement déformée.
La hanche est moins souple que de l'autre côté, pouvant même parfois être très raide.
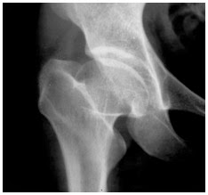
Les radiographies du bassin de face et des hanches de profil montrent des anomalies de la tête du fémur. Il faut pourtant savoir que pendant les deux premiers mois d'évolution de la maladie les radiographies peuvent être normales.
C'est pour cette raison que lorsqu'un enfant boite et que les radiographies sont normales on lui refait de nouvelles radiographies deux mois après.
L'aspect des têtes fémorales passent par différentes phases:
(en plus grand,en fin d'article)
La maladie évolue sur plusieurs années. En l'absence de traitement,
seul un quart des enfants conservent une tête fémorale sphérique.
risque de déformation
Les séquelles principales à redouter sont le Coxa plana la coxarthrose (arthrose de hanche).
La description de cette période.
Cette maladie a la particularité de guérir toute seule. Après quelques mois de nécrose, le sang va revenir irriguer la tête fémorale et celle-ci va se reconstruire progressivement.
Nous n'avons à l'heure actuelle aucun moyen d'accélérer ce processus. Notre rôle est d'essayer de minimiser au maximum les séquelles en gardant une tête fémorale ronde qui s'adapte au cotyle qui est un moule sphérique.
Cela s'appelle la congruence articulaire.
L'absence de congruence articulaire entraîne à plus long terme de l'arthrose.
Il existe plusieurs traitements qui vont de la simple surveillance à la chirurgie. Le but est donc de garder une hanche souple et congruente.
Parfois, une surveillance est suffisante mais si la hanche a tendance à s'enraidir on prescrit de la kinésithérapie. On peut parfois demander à l'enfant de ne pas marcher pendant plusieurs mois et dans ce cas il se déplacera en fauteuil roulant.
Lorsque la hanche est très raide, il est parfois nécessaire de mettre l'enfant en traction, c'est-à-dire que l'on tire doucement sur les jambes par l'intermédiaire de poids suspendus à des bandes qui entourent les jambes. Cela peut être fait uniquement la nuit au domicile mais parfois la traction est mise en permanence. Dans ce cas, le traitement est fait en centre de rééducation, ce qui permet de poursuivre une scolarité normale.
Dans le pire des cas, lorsque la tête fémorale a tendance à sortir du cotyle, on propose une intervention chirurgicale au niveau du bassin pour remettre la tête fémorale dans le cotyle et améliorer la congruence articulaire.
Toutes les hanches se réossifient à long terme mais le risque est que la tête fémorale se déforme.
Elle peut s'aplatir, c'est ce que l'on appelle une coxa plana (tête plate), devenir plus grosse ou coxa magna.
Lorsque la tête fémorale se déforme, l'articulation n'est plus congruente
et le risque est l'apparition d'arthrose à un âge relativement jeune.
et le risque est l'apparition d'arthrose à un âge relativement jeune.
(donc à être opéré)
Plus on est porteur d'une prothèse de hanche jeune, plus elle risque de s'user et plus on risque de devoir la changer dans l'avenir. C'est pour cette raison que l'on cherche à avoir une articulation la plus congruente possible en fin de croissance pour retarder au maximum l'apparition de douleur et d'arthrose chez l'adulte.
Revenons à Andrea de Luca.
Le 1er novembre 2006, Andrea rêve d'être joueur de football professionnel, il a 13 ans.Mais durant un match,il a les premiers symptomes de la maladie de Legg-Calvé-Perthes.Celà le condamnait aux béquilles et au fauteuil roulant,comme il le dit dans une interview.
Commence pour lui la visite des hôpitaux.
En 2008, la paralysie commence progressivement..
il déclare aussi
«Je souffrais de cette maladie depuis trois ans et j'était fatigué de la douleur que je devais endurer.
C' était le dernier espoir pour une guérison
. le 19-20 septembre 2009,ils étaient dans une pension de famille qui avait une statue de Medjugorje.
La veille avec beaucoup de difficultés, il avait escaladé avec l'aide de sa mère la Colline aux Apparitions.
Le premier signe est venu un soir où ils est entré dans le jardin où ils logeaient. «Je ne pouvais pas dormir. Je suis sorti dans la cour, je fis le signe de la croix et j'ai commencé à prier. Puis la tête de la statue de Notre-Dame en face de moi s'est allumé.
Bien que ce fut une belle lumière, on ne peut pas la décrire Je pris peur et je me suis retourné. J'ai invité mes parents à venir voir. Quand ils sont arrivés avec un autre pèlerin,
(sauf erreur de traduction) deux faisceaux de la statue, m'ont éclairés un au cœur, l'autre à la jambe », dit Andrea De Luca au quotidien croate '24 sata
Ensuite, il a escaladé le Mont Krizevac et a cassé une béquille
et quand il est redescendu il a rompu l'autre béquille.(ensuite,il l'est allé à Mostar pour les remplacer).
Un autre jour, une religieuse m'a dit: "Dites à Jésus de vous enlever votre maladie .." Le lendemain, je suis allé à la messe et j'ai prié pour la première fois en moi-même. Je sentais tout mon dos chaud. Je n'osais pas supprimé mes béquilles. Je l'ai fait après mon retour en Italie.
Quand nous sommes arrivés à la maison, je me trouvais avec mes béquilles prêt à sortir du bus. J'ai entendu trois fois une voix intérieure disant: «Tu es mon apôtre. Marche et porte ma lumière ". A partir de ce moment, la douleur atroce qui me touchait pendant trois ans a disparu », explique Andrea De Luca.
.Je ne voulais pas en parler ensuite.Il a fallu 5 ans avant que j'en parle. J'étais un enfant. Maintenant, je suis un adulte, et les médecins ont confirmé que le miracle s'est produisit dans mon cas.
Les Dr. Anastasio Tricarico, professeur de l'orthopédie et traumatologie à l'Université de Naples et dr. Pasquale Guida, spécialiste en orthopédie de Naples confirment la guérison inexplicable d'Andrea De Luca.
Un jour, j'ai entendu la salutation d'un jeune homme qui est passé devant moi avec un vélo." Bonjour professeur "Je ne pouvais pas en croire mes yeux quand je ai vu Andrea, dont je suivais la maladie depuis trois ans," a déclaré le Dr Pasquale si Guida. à la chaîne de télévision italienne RAI.
Andréa est revenu à Medjugorje récemment et a répondu aux questions de la RAI.Il était dans un groupe dans lequel se trouvait Paolo Brosio.
Dans le livre "Raggi di luce" (Les rayons de lumière) du journaliste et auteur italien Paolo Brosio, les docteurs montrent les radiographies de la guérison de l'os, le montrant déjà cassé et les os manquants et après sa guérison.
Sources
http://www.bedevaart.net/verlamde-man-genezen-in-medjugorje.html
http://www.24sata.hr/sudbine/cudo-u-meugorju-gospa-me-ozdravila-sad-ponovo-hodam-359109
http://www.hercegovina.info/vijesti/hercegovina/medjugorje/cudesna-ozdravljenja-u-medjugorju-najtajanstvenija-dogadjanja-gospina-ukazanja#news_view
http://www.hercegovina.info/vijesti/hercegovina/medjugorje/andrea-de-luca-u-najgledanijoj-emisiji-rai-ja-ozdravila-me-gospa-iz-medjugorja-71894
http://slobodnadalmacija.hr/Mozaik/tabid/80/articleType/ArticleView/articleId/239902/Default.aspx
http://www.napolistyle.it/notizia/964/notizie/la-storia-del-giovane-stabiese-miracolato-a-medjugorie.html
http://www.ansa.it/web/notizie/regioni/campania/2014/03/12/Miracolato-Medjugorje-Napoli_10222680.html
http://www.campanianotizie.com/attualita/napoli/85464-miracolato-a-medjugorje-riceve-maglia-juve-stabia-da-improta-ex-calciatore-del-napoli.html
http://www.solonotizie24.it/wip/2014/03/12/miracolato-a-medjugorje-riceve-la-maglia-della-juve-stabia-da-improta-2/18798
http://www.viaggiepellegrinaggi.it/notizie-da-medjugorje/76-medjugorje-napoli-miracolo.html
http://www.calciomercato.com/news/brosio-racconta-il-giovane-miracolato-a-medjugorje-986530
http://paolobrosio.biz/il-tour-tv-radio-stampa-internet-presentazione-raggi-di-luce/
http://www.campanianotizie.com/attualita/napoli/85464-miracolato-a-medjugorje-riceve-maglia-juve-stabia-da-improta-ex-calciatore-del-napoli.html
http://www.ilnapolionline.com/foto-juve-stabia-il-miracolo-di-andrea-il-tifoso-stabiese-con-una-grave-malattia-di-nuovo-allo-stadio/
http://paolobrosio.biz/mensile-medjugorje-larticolo-su-andrea-de-luca-e-su-raggi-di-luce/
http://medjugorjetuttiigiorni.blogspot.it/2014/09/limprovvisa-guarigione-di-andrea.html
http://totustuusreinadelapaz.org/index.php/blog/1217-joven-en-silla-de-ruedas-sana-en-medjugorje













.jpg)










.jpg)